Zprávy
Satira
Názory
Život
Tech
Zábava
Video
Cesty
Byznys
Další
Zprávy
Satira
Názory
Život
Tech
Zábava
Video
Cesty
Byznys
Vyhledávání
Vyhledávání
masturbace
10 tipů pro ženy, jak poznáte, že váš partner je gay
Dominik Landsman
15 věcí, které ženy dělají, když je muži nevidí
Dominik Landsman
Facebook – ráj moderních pedofilů
Dominik Landsman
6 tipů, jak zabránit tomu, aby váš potomek masturboval
Dominik Landsman
5 přelomových faktů o sexuálním chování lidí
Dominik Landsman
5 důvodů, proč si nezasloužíte mít sex
Dominik Landsman
6 situací, kdy se rozhodně nevyplatí zemřít
Dominik Landsman
8 druhů sexu v průběhu mužského života
Dominik Landsman
7 důvodů, proč je masturbace lepší, než být vegan
Dominik Landsman
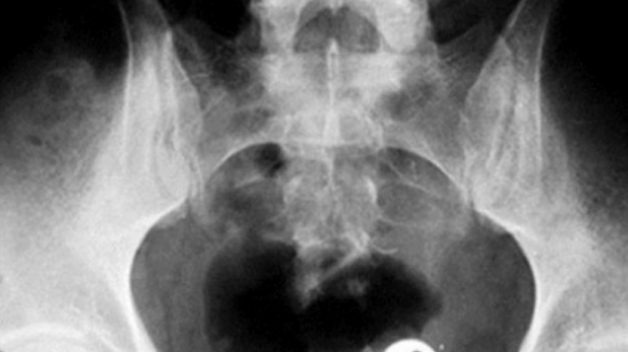
Náboj, klíč i sklenice. Tohle všechno se objevilo na rentgenu lidského těla
Eva Levá
Další články